|






|
|
La
tecnologia nella chirurgia dei tumori cerebrali |
|
|
|
Introduzione |
Per quanto sia enorme l'impegno della ricerca di nuove possibilità terapeutiche nei tumori cerebrali, l'asportazione chirurgica è oggi ancor sempre un passaggio determinante o di grande aiuto per la guarigione o una migliore prognosi del paziente.
Scopo della chirurgia rimane un'asportazione quanto più radicale evitando però dei danni alle funzioni cerebrali.
Due sono i principi fondamentali che il chirurgo deve tener presente:
- la conoscenza dell’esatta posizione della lesione e dei rapporti che essa contrae con le strutture circostanti
- la conoscenza delle funzioni cerebrali eventualmente coinvolte dalla lesione. |
|
Neuronavigazione |
|
La neuronavigazione comprende sistemi computerizzati avanzati che consentono al chirurgo di conoscere in ogni momento l’esatta posizione dei propri strumenti durante l’intervento chirurgico, permettendo oggi di raggiungere praticamente qualsiasi sede intracranica mediante approcci spesso innovativi e meno invasivi.
Questi sistemi svolgono a tutti gli effetti anche una funzione stereotassica, poiché consentono di localizzare un bersaglio intracranico all’interno di un sistema di coordinate tridimensionali derivato dalle immagini di Risonanza Magnetica o Tomografia Computerizzata, con un’elevata accuratezza spaziale. In tal senso, la neuronavigazione può essere considerata una
stereotassia frameless, che non richiede l’applicazione di un casco stereotassico rigido, garantendo maggiore flessibilità e comfort per il paziente.
|

|

|
|
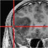
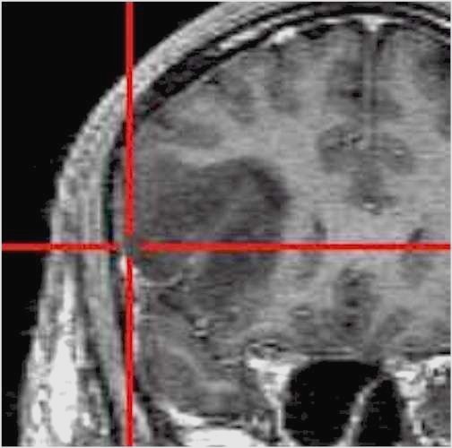
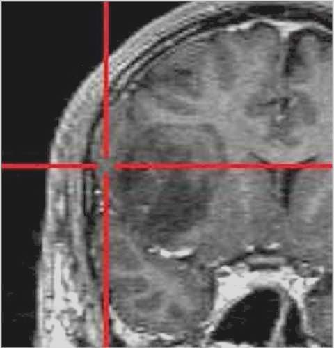
Cavernoma
profondo
|
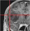
Glioblastoma
in area critica
|
Il procedimento ha inizio con l’esecuzione di una Risonanza Magnetica (RM) o di una Tomografia Computerizzata (TC) del paziente, effettuate mediante protocolli di acquisizione dedicati.
Al momento dell’intervento chirurgico, il capo del paziente viene registrato nello spazio tridimensionale del computer tramite un sistema di localizzazione, generalmente ottico a infrarossi, che riconosce specifici punti di repere applicati al capo o al sistema di fissaggio.
Il computer provvede quindi a sovrapporre l’anatomia reale del paziente alle immagini RM o TC precedentemente acquisite. Durante l’intervento, il chirurgo utilizza strumenti chirurgici dotati di marker che vengono continuamente rilevati dallo stesso sistema ottico a infrarossi; in questo modo il neuronavigatore è in grado di indicare in tempo reale, sulle immagini RM o TC, l’esatta posizione degli strumenti all’interno del campo operatorio.
Grazie a questa tecnologia, l’intervento viene accuratamente pianificato alla consolle del computer, anche nei giorni precedenti l’atto chirurgico, consentendo di valutare in modo approfondito il percorso di accesso più sicuro e riducendo significativamente il rischio di dover effettuare scelte intraoperatorie non sufficientemente ponderate.
Per raggiungere una determinata sede, anche se profonda o localizzata in aree critiche, è possibile adottare traiettorie talvolta più lunghe ma che attraversano regioni cerebrali a minore rischio funzionale per il paziente. In questo modo sono venuti meno molti dei limiti legati alla difficoltà di accesso anatomico (lesioni profonde, sedi eloquenti), che in passato spesso precludevano un trattamento chirurgico.
Oggi, il principale limite all’intervento chirurgico non è più di tipo tecnico, bensì biologico, rappresentato da un’estesa infiltrazione tumorale che ne impedisce un’asportazione radicale e sicura. |
|
Stereotassi |
|
La stereotassia, metodica sviluppata prima dell’avvento della neuronavigazione, prevede tradizionalmente l’applicazione al capo del paziente di una struttura meccanica rigida, denominata casco stereotassico
(stereotassia frame-based). A tale struttura vengono associati specifici sistemi di riferimento che consentono al paziente di eseguire esami di imaging quali Risonanza Magnetica, Tomografia Computerizzata o angiografia.
Accanto alla stereotassia classica con casco rigido, oggi è disponibile anche la
stereotassia frameless, che non richiede l’applicazione di una struttura rigida al capo. In questa modalità, la localizzazione del bersaglio avviene mediante sistemi di riferimento esterni o cutanei e tecnologie di localizzazione spaziale computer-assistita, mantenendo un’elevata accuratezza e offrendo maggiore flessibilità procedurale e comfort per il paziente.
Attraverso tali metodiche è possibile ottenere coordinate operatorie tridimensionali che consentono di raggiungere il bersaglio chirurgico con precisione millimetrica. Anche in questo caso l’intervento viene pianificato accuratamente, identificando la lesione e selezionando la via di accesso più sicura per il paziente.
Un ulteriore vantaggio chirurgicamente rilevante della stereotassia è la possibilità di acquisire una rappresentazione tridimensionale della lesione, collocata all’interno di un preciso sistema di coordinate spaziali.
Nonostante il recente avvento della neuronavigazione, che ha semplificato questo tipo di approccio soprattutto nella patologia tumorale, la stereotassia — sia frame-based sia frameless — rimane tuttora di grande utilità nei casi in cui sia richiesta una accuratezza estremamente elevata, in particolare per lesioni profonde e circoscritte.
Essa resta inoltre essenziale nella chirurgia funzionale, come nei trattamenti del morbo di
Parkinson.
|
|
La
chirurgia con Paziente sveglio e collaborante |
|
La profonda conoscenza dell’anatomia cerebrale rende spesso necessario integrare informazioni sempre più dettagliate sugli aspetti funzionali delle aree critiche potenzialmente coinvolte dalla lesione. A tale scopo, le moderne metodiche diagnostiche, in particolare la
Risonanza Magnetica funzionale (fMRI), iniziano a fornire indicazioni rilevanti sulla localizzazione delle funzioni cerebrali.
In ambito chirurgico, le aree maggiormente studiate sono soprattutto la corteccia motoria e la
corteccia somatosensoriale, mentre l’area del linguaggio risulta più variabile e spesso imprevedibile. Tuttavia, l’impiego di queste tecniche è ancora limitato e la loro affidabilità è maggiore nei casi in cui la localizzazione funzionale è già prevedibile. Nei casi più complessi, come nei tumori cerebrali con compromissione funzionale preesistente, tali informazioni possono risultare incomplete o poco attendibili.
Attualmente, ciò che più garantisce al paziente di evitare deficit neurologici importanti è la possibilità di una chirurgia in anestesia locale, durante la quale il paziente è sveglio e collaborante. Questa modalità consente di eseguire un
mapping corticale intraoperatorio: l’area corticale a rischio viene stimolata elettricamente, mentre l’elettrocorticografia (EEG con elettrodi posti sulla superficie cerebrale) consente di determinare la corretta soglia di stimolazione.
|

|

|
|
Stimolazione
corticale a paziente sveglio |
Localizzazione
dell'area con il neuronavigatore |
|

|

|
|
Individuazione
dell'area coinvolta nella parola |
Approccio
chirurgico che risparmia l'area critica |
Durante la stimolazione:
- Nel caso dell’area motoria, si osservano piccoli movimenti della mano o di altre parti del corpo.
- Nell’area somatosensoriale, il paziente segnala sensazioni lungo la metà controlaterale del viso o del braccio.
- Nell’area del linguaggio, il paziente esegue compiti verbali, come nominare oggetti mostrati durante la stimolazione o contare ad alta voce, permettendo di identificare con precisione le zone eloquenti.
Anche se queste informazioni possono sembrare minime, sono fondamentali per eseguire resezioni ottimali dei tumori senza provocare deficit neurologici permanenti.
Si tratta però di casi molto selezionati, che devono soddisfare specifici requisiti clinici e pratici. La maggior parte dei pazienti candidati sono giovani e affetti da lesioni di basso grado, nelle quali l’asportazione radicale garantisce una prognosi eccellente.
Con il progredire della diagnostica funzionale preoperatoria, è prevedibile che questa chirurgia estremamente precisa possa essere estesa a un numero maggiore di pazienti, aumentando le possibilità di trattamenti sicuri anche in casi più complessi.
|
|
Le informazioni su patologie e trattamenti neurochirurgici hanno solo scopo informativo.
Non sostituiscono visite o consulti medici.
Se hai problemi di salute, rivolgiti sempre al tuo medico o professionista sanitario di fiducia.
Lo staff di Neurochirurgia è disponibile per chiarimenti, ma non può fornire diagnosi personalizzate
online. |
|