|
TUMORI
CEREBRALI |
|
|
|
-
Meningioma
-
Neurinoma nervo acustico
-
Neurinoma nervo trigemino |
|
|
|
-
Chirurgia dei gliomi a basso grado
-
Astrocitoma pilocitico
-
Glioma ad alto grado di malignità |
|
|
|
TUMORI
SPINALI |
|
|
|
| LA TECNOLOGIA NELLA CHIRURGIA DEI TUMORI CEREBRALI |
|
|
Note generali |
La chirurgia dei tumori cerebrali implica l'asportazione della massa tumorale che dev'essere possibilmente radicale. Questo evita una ricrescita (recidiva) della lesione.
L'intervento deve ovviamente evitare danni funzionali cerebrali.
Attualmente il punto determinante per la prognosi è l'aspetto istologico della lesione; se si tratta cioè di una lesione benigna o maligna. (classificazione dei tumori)
Lesione benigna: è ben circoscritta ed in linea di principio è possibile asportare totalmente con conseguente guarigione del paziente.
Lesione con caratteristiche maligne: ha margini sfumati, infiltra le strutture vicine spesso ancora funzionanti e presenta una disseminazione di cellule lontano dal nucleo della lesione per cui un asportazione biologicamente radicale diventa impossibile.
Lesioni intermedie: in alcune lesioni, considerata la variabilità di molteplici fattori, è difficile prevedere esattamente l'evoluzione negli anni per cui una distinzione netta, ai fini della prognosi, tra maligno e benigno, può essere difficile.
Nel seguente capitolo ci limiteremo ad accennare agli aspetti esclusivamente chirurgici della patologia più frequentemente trattata. |
|
Tumori benigni o con caratteristiche benigne |
Questi, dovunque essi crescano, sono da considerarsi esterni al parenchima cerebrale per cui spostandolo mantengono una buona separazione da esso. Tra questi sono più problematici quelli che interessano la base cranica e possono coinvolgere dei nervi cranici o delle strutture vascolari.
Sono comunque lesioni che generalmente si riescono ad asportare radicalmente. |
|
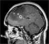
Meningioma |
|
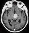
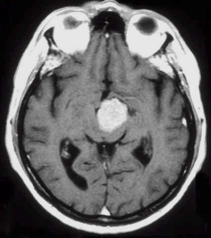
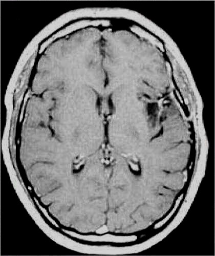
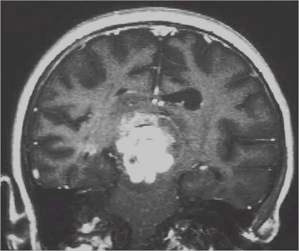
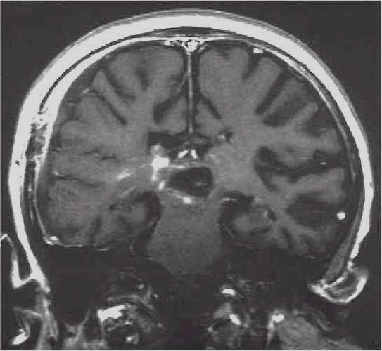
Meningioma: ben separabile dal tessuto circostante presenta delle difficoltà quando interessa la base cranica. Tranne rare situazioni sono lesioni oggi ben risolvibili o, comunque, controllabili nel tempo. Il rischio per il paziente e la difficoltà dipendono dalla sede in cui si trova.
- Convessità: problemi legati a danni corticali, se in sede critica. Esiste il rischio, seppur modesto, di paresi postoperatoria transitoria
- Frontobasale: può interessare i nervi ottici, il nervo olfattorio ed i vasi arteriosi della parte anteriore del circolo di Willis (carotide e cerebrali anteriori)
- Temporobasale e seno cavernoso: può coinvolgere i nervi cranici dal terzo al sesto, l'arteria carotide interna e l'arteria cerebrale media, se inglobati
- Fossa cranica posteriore: 1. angolo pontocerebellare: rischio per il nervo facciale e gli ultimi nervi cranici tra cui particolarmente problematico può essere il nervo glossofaringeo (disfagia);
2. petroclivale: rischio per il nervo abducente (diplopia) e le strutture vascolari, se inglobate;
 |
 |
 |
 |
|
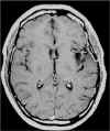
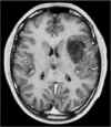
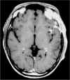
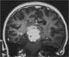
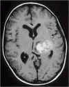
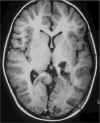
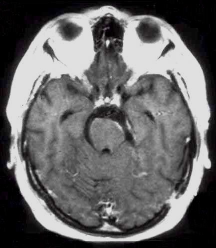
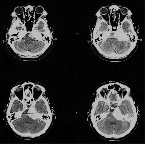
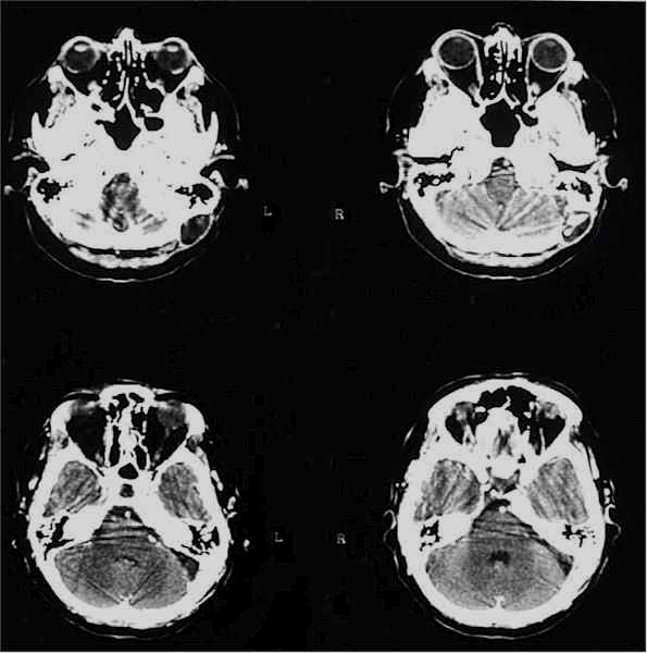
TC preoperatoria
|
TC postoperatoria
|
RM preoperatoria
|
RM postoperatoria
|
3. passaggio craniocervicale rischio per ultimi nervi cranici con disfagia.
|
|
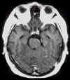
Neurinoma nervo acustico |
Oggi il problema maggiore nel neurinoma dell'acustico è rappresentato dalle aderenze con il nervo facciale per cui il paziente rischia una paresi postoperatoria, perlomeno transitoria. Ciò dipende soprattutto dalla grandezza della lesione. L'udito, se già non compromesso, lo sarà quasi sicuramente dopo l'intervento se non in pochi casi di lesioni molto piccole (< 1,5 cm di diametro) dove l'indicazione operatoria può essere opinabile.
L'approccio è microchirurgico con una craniotomia di circa 2,5 cm dietro l'orecchio. Si raggiunge la lesione passando tra parete della rocca ed il cervelletto. Si apre anche il meato acustico interno da dove si asporta l'ultima parte della lesione. In casi selezionati si può monitorare la funzione dell'acustico se funzionante al fine di mantenere l'udito. |
|
Neurinoma nervo trigemino |
|
Molto più rari, il tumore cresce dalle fibre sensitive del trigemino per cui ci sarà nel decorso postoperatorio quasi sicuramente un deficit della sensibilità. In funzione dell'estensione della lesione, che può interessare sia la fossa temporale che l'angolo pontocerebellare, l'approccio può essere retrosigmoideo (come per il nervo acustico), subtemporale o la combinazione dei due con un doppio approccio.
|
|

|
|
Neurinoma del trigemino |
|
Tumori gliali |
|
Due sono i principi di cui bisogna tenere conto nel momento in cui si pone un'indicazione chirurgica: l'aspetto anatomico della lesione e l'istologia, cioè il grado di malignità.
Pensiamo quindi vada distinta la chirurgia dei gliomi a basso grado di malignità e la chirurgia dei gliomi ad alto grado.
Chirurgicamente è utile distinguere la conformazione anatomica (l'aspetto citoarchittetonico) in tre tipi secondo la classificazione della Daumas-Duport.
Questi due principi ci aiutano spesso a trovare la collocazione terapeutica migliore nell'ambito della notevole variabilità con cui queste lesioni si presentano.
Un glioma può essere quindi distinto in tre tipi (Daumas-Duport): |
|

|

|

|
|
Tipo
I: lesione circoscritta |
Tipo
II: lesione compatta ed area di tessuto cerebrale infiltrato |
Tipo
III: lesione diffusa con parenchima infiltrato |
|
Grazie alla tecnologia attuale, una massa tumorale compatta, che sposta il tessuto cerebrale può essere asportata praticamente da qualsiasi sede. La parte infiltrante invece potrà essere asportata solamente se questa interessa aree non critiche altrimenti il rischio di danni è molto alto. Parlando però di gliomi, la componente infiltrante è quasi sempre presente.
|
|
Chirurgia
dei tumori a basso grado |
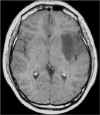
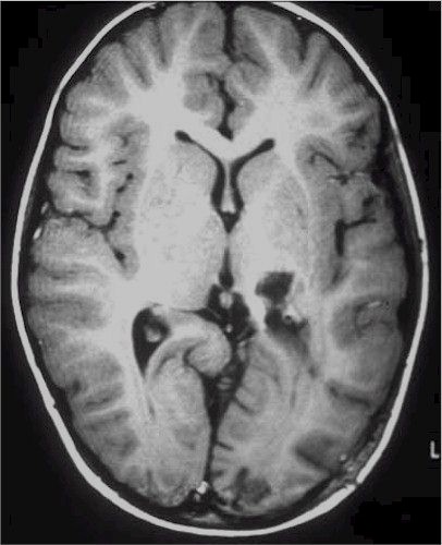
| Il termine basso grado significa una crescita estremamente lenta. Per quanto nel tempo l'ingrandimento è molto lento il rischio maggiore è che la lesione si trasformi in una lesione di alta malignità per cui l'evoluzione diventa poi estremamente rapida.
Queste lesioni si presentano con una conformazione anatomica che varia da forme molto circoscritte dove è possibile un'asportazione radicale a quelle estesamente infiltranti dove può essere indicata solamente una biopsia per l'accertamento diagnostico.
Noi sappiamo che allo stato attuale delle nostre possibilità terapeutiche, il migliore risultato per il paziente è l'asportazione quanto più radicale della lesione.
Trattando una lesione relativamente circoscritta, a volte difficile da distinguere dalla struttura circostante, diventa di estremo aiuto l'uso di sistemi stereotassici o di neuronavigazione che ci permettono una chirurgia guidata da un sistema computerizzato. Tale metodica ci permette di pianificare prima e di conoscere durante l'intervento la posizione del chirurgo rispetto a quelli che sono i margini del tumore e del parenchima sano. In questo modo è possibile raggiungere qualsiasi sede consentendo un'asportazione controllata della lesione senza esporre ad eccessivo rischio le strutture circostanti.
Ciò nonostante, per lesioni che si trovano in aree quali quella motoria o della parola, il semplice riconoscimento anatomico può non essere sufficiente per cui in casi selezionati è utile eseguire l'intervento in anestesia locale con paziente collaborante.
Quando la combinazione di queste due metodiche è possibile, si ottiene il risultato chirurgico migliore riducendo di molto i rischi per il paziente.
A conferma della prognosi più positiva nelle asportazioni "radicali" delle lesioni a basso grado rispetto alla semplice biopsia esiste una letteratura che confermando anche la nostra casistica parla di una sopravvivenza del 95% con mortalità del 5% a 5 anni nelle asportazioni e viceversa di una sopravvivenza del 55% e mortalità del 45% a 5 anni nelle biopsie. |
 |
 |
 |
 |
|
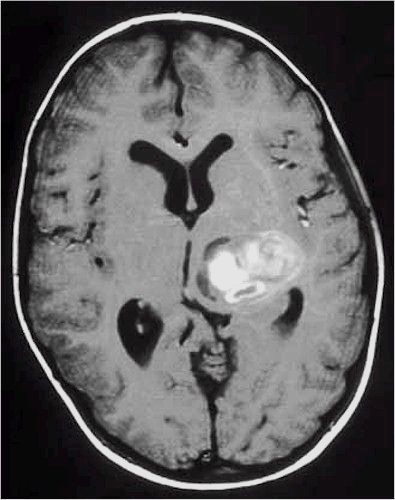
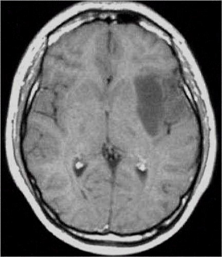
RM preoperatoria
|
RM
postoperatoria
|
RM preoperatoria
|
RM
postoperatoria
|
|
Nelle forme molto diffuse non è possibile un asportazione in quanto significherebbe asportare del tessuto ancor funzionante. Si esegue una biopsia stereotassica per l’accertamento diagnostico.
|
|
Astrocitoma
pilocitico |
|
Rappresenta l'esempio migliore di un glioma ben circoscritto che può essere asportato anche da sedi particolarmente critiche dove pure la grandezza della lesione non pregiudica un'indicazione chirurgica. |
 |
 |
 |
 |
|
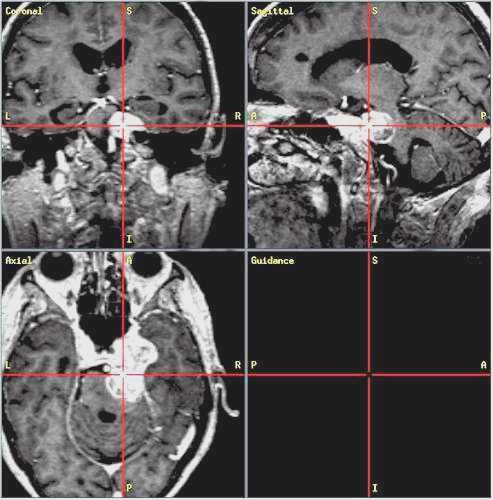
Voluminosa lesione in
sede crtca
|
Controllo RM
postoperatrio
|
Astrocitoma talamico
|
Indagine RM
postchirurgca
|
|
|
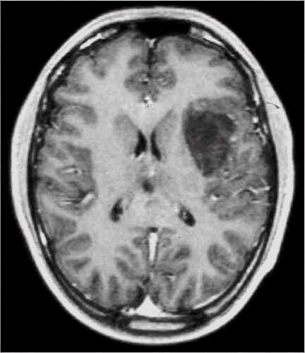
Glioma
ad alto grado di malignità (Glioblastoma) |
|
Lesioni caratterizzate da un accrescimento veloce con infiltrazione del tessuto cerebrale attiguo e diffusione a distanza di cellule maligne.
Scopo della chirurgia è ridurre macroscopicamente la massa tumorale per facilitare ulteriori trattamenti (principalmente radio - chemioterapia mentre altri protocolli terapeutici sono ancora in fase di studio).
In queste lesioni la loro conformazione anatomica, praticamente sempre di tipo II (Daumas-Duport) non ha un ruolo così dirimente nell'indicazione chirurgica poiché il comportamento biologico è sicuramente il fattore più importante.
|
|

|
|
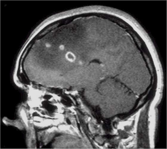
RM:
glioma con segni di trasformazione maligna
|
|
Ependimomi |
|
Lesione la cui crescita parte dall'ependima dei ventricoli o dal canale ependimale. Spesso raggiunge dimensioni ragguardevoli, ma il problema chirurgico consiste nello staccare la lesione dalla sua base che risulta essere più o meno infiltrata. Trattandosi ad esempio del pavimento del IV ventricolo, sede frequente di queste lesioni, o a livello dei ventricoli laterali, il distacco dalla base non sempre può essere radicale. Anche qui sarà essenziale l'aspetto istologico.
|
|
 
|
Visione chirurgica di fasi di asportazione di un
ependimoma |
|
Papillomi |
| Tumore a partenza dei plessi corioidei, mantiene un buon clivaggio dall'ependima ventricolare per cui è asportabile completamente con eccellente prognosi.
|
|
Craniofaringioma |
Tumore proveniente da un inclusione embrionale che cresce nell'area circostante la sella turcica. Può interessare quindi le strutture di quest'area quale i nervi ottici ed il chiasma, l'infundibolo ed il III ventricolo ed infine i vasi del circolo di
Willis. È una lesione che è spesso costituita da una componente solida, da una componente cistica e da calcificazioni. Le difficoltà chirurgiche dipenderanno dai rapporti con le strutture contigue ed alla predominanza di una di queste componenti. Il craniofaringioma non ha caratteristiche infiltranti bensì spesso è estremamente aderente alle strutture vicine per cui la radicalità chirurgica può comportare notevoli rischi al paziente (problemi endocrini, comportamentali, di memoria, disturbi visivi). |
|

|
Asportazione di un
craniofaringiome |
|
Meningioma spinale |
|
Rispetto ai meningiomi cranici, rischio minore in quanto ben clivabile e quindi asportabile anche con un approccio miniinvasivo. Rischio modesto per le radici spinali e per il midollo.
|
|
Neurinoma spinale |
|
Lesioni a partenza dalle radici spinali, comprimono il midollo dal quale sono generalmente ben separabili. Crescendo da una radice, è possibile che l'asportazione comporti un ulteriore danneggiamento funzionale della radice già precedentemente
interessata.
|
|

|
Neurinoma
spinale |