|
IDROCEFALO
|
|
Cosa
si definisce idrocefalo? |
|
Il
termine idrocefalo deriva dal greco "hydro" che
significa acqua e "cephalus" che significa testa. Come
è insito nell'etimologia, è una condizione in cui la caratteristica
primaria è un eccessivo accumulo di liquido nell'encefalo. Questo
liquido è il liquor che normalmente avvolge e riempie le cavità
dell'encefalo e del midollo spinale, in quantità di circa 150 cc.
L'eccessivo accumulo del liquor provoca una abnorme dilatazione degli
spazi encefalici chiamati ventricoli. Il sistema ventricolare è formato
da quattro cavità connesse fra di loro ed in comunicazione con gli
spazi liquorali subaracnoidei. Questi spazi avvolgono in superficie
tutto il sistema nervoso centrale. Il liquor è continuamente prodotto
nei ventricoli, fluisce nelle cavità della base cranica, circola sulle
superfici dell'encefalo e del midollo spinale ed è assorbito nel flusso
sanguigno attraverso strutture chiamate villi aracnoidei. Attualmente si
ritiene che circa un quarto del liquor sia riassorbito per mezzo delle
vie linfatiche. Questo permette un equilibrio dinamico fra produzione e
riassorbimento del liquor. Il liquor nelle 24 ore si ricambia circa tre
volte.
|
|
Che
funzione ha il liquor?
|
|
Il
liquor ha tre impartanti funzioni vitali: permette il galleggiamento
della massa nervosa agendo come un cuscinetto protettivo; agisce come
veicolo per la distribuzione dei nutrimenti e la rimozione delle scorie
dall'encefalo; compensa la variazione di volume ematico intracranico
facendo fluire parte del liquor dal compartimento cranico a quello
spinale. |
|
Perché si sviluppa un idrocefalo?
|
|
L'idrocefalo
si sviluppa quando si produce un eccesso di liquor, quando vi è un
difetto di riassorbimento o quando, ed è l'evenienza più frequente, c'è
un blocco lungo le vie di deflusso. |
|
Quali sono i differenti tipi di idrocefalo?
|
|
L'idrocefalo può essere congenito od acquisito.
L'idrocefalo congenito è presente alla nascita e può essere causato da influenze ambientali durate lo sviluppo fetale o da predisposizione genetica. L'idrocefalo acquisito si sviluppa alla nascita o più tardi. Quest'ultimo tipo può colpire individui di tutte le età e può essere conseguente a traumi cranici, a lesioni espansive che interessano il sistema nervoso centrale, a emorragie subaracnoidee, a processi infiammatori od a malformazioni.
L'idrocefalo può essere comunicante o non comunicante. Il primo si verifica quando la circolazione del liquor è ostacolata o bloccata nelle vie di deflusso extraventricolari o per un difetto del riassorbimento. Questa forma è così chiamata perché il liquor può ancora fluire attraverso i vari ventricoli che sono pervi. L'idrocefalo non comunicante, che è sempre provocato da meccanismi ostruttivi, si realizza quanto una delle vie di comunicazione fra i ventricoli o fra i ventricoli e le cavità basali è stenotica o bloccata.
Una delle cause più comuni di idrocefalo è la stenosi dell'acquedotto. In questo caso l'idrocefalo risulta da un restringimento, che può giungere fino alla occlusione, della esile via di comunicazione fra il terzo ed il quarto ventricolo.
Ci sono altre due forme di idrocefalo che a rigore non possono essere inserite nelle categorie menzionate sopra e che colpiscono principalmente l'adulto. Si tratta dell'idrocefalo ex-vacuo e dell'idrocefalo cosiddetto a pressione normale dell'anziano. L'idrocefalo ex-vacuo si realizza quando c'è stato un danno dell'encefalo di varia natura: trauma, ictus o malattia degenerativa. In questi casi ci può essere una riduzione anche significativa della massa cerebrale, soprattutto sottocorticale, che permette una sovradistensione del sistema ventricolare.
L'idrocefalo dell'anziano non trova una causa eziologica significativa. È caratterizzato da una dilatazione armonica del sistema ventricolare sopratentoriale. |
|
L'idrocefalo è un disturbo comune?
|
|
La
frequenza di questa patologia è difficile da stabilire dal momento che
non esistono registri nazionali o data base delle persone con idrocefalo
e disordini strettamente associati. Comunque si ritiene che l'idrocefalo
colpisca approssimativamente uno ogni 500 bambini. Allo stato attuale,
la maggior parte di questi casi sono diagnosticati in epoca prenatale,
al momento del parto o nella prima infanzia. |
|
Quali sono le cause di idrocefalo?
|
|
L'idrocefalo può derivare da disordini genetici (stenosi dell'acquedotto) e alterazioni dello sviluppo, quali le malformazioni di Arnold-Chiari e di Dandy-Walker, e quelle associate ad alterazioni del tubo neurale (spina bifida ed encefalocele). Altre possibili cause comprendono le complicanze peri- o postnatali come emorragie intraventricolari o diverse patologie dell'età infantile o adulta quali meningiti, lesioni espansive, traumi cranici o emorragie subaracnoidee che impediscono il deflusso liquorale. |
|
Quali sono i sintomi dell'idrocefalo? |
|
Variano
con l'età, la progressione della malattia (in acuto o cronicamente) e
le differenze individuali nella tolleranza all'aumento della pressione
intracranica.
Nei neonati e fino all'età di circa due anni la tolleranza agli aumenti
di pressione intracranica è diversa che nel bambino e nell'adulto.
Infatti, il cranio in tenera età, fina a quando non si sono saldate le
suture ossee, può espandersi in conseguenza della spinta pressoria
idrocefalica. Questo non può accadere nell'adulto in quanto la scatola
cranica è inestensibile. In questi casi ogni aumento volumetrico di uno
o più componenti endocranici, una volta esauriti i meccanismi di
compenso, si traduce in un aumento della pressione intracranica.
Sotto i due anni, la più chiara indicazione di idrocefalo è quindi la
rapida crescita della circonferenza cranica o un inusuale macrocefalia.
Altri segni sono: fontanella anteriore tesa e non pulsante, cute cranica
sottile e solcata da vene superficiali dilatate, fronte ampia e con
bozze preminenti, palpebre superiori retratte con occhi ad aspetto a
"sole calante". Possono associarsi vomito, sonnolenza,
irritabilità, inappetenza e crisi epilettiche. Col perdurare della
condizione compaiono segni di compressione encefalica quali paralisi dei
nervi cranici, paraparesi spastica, alterazioni cerebellari. Si instaura
un ritardo dello sviluppo. Se non si interviene chirurgicamente il
peggioramento è progressivo. Nella metà dei casi l'evoluzione è verso
il decesso, negli altri casi si ha una stabilizzazione spontanea con
postumi più o meno invalidanti.
Nei bimbi di maggiore età o negli adulti i sintomi o i segni possono
includere vomito, nausea, deficit dell'acuità visiva, diplopia (visione
doppia), papilledema, problemi dell'equilibrio, scarsa coordinazione,
disturbi della deambulazione, incontinenza urinaria, rallentamento o
perdita dello sviluppo, letargia, irritabilità ed altri cambiamenti
della personalità o delle funzioni cognitive. I sintomi riportati si
riferiscono ai casi tipici, va però ricordato che i sintomi possono
variare significativamente da individuo a individuo. |
|
Come è diagnosticato l'idrocefalo? |
|
L'idrocefalo
è diagnosticato mediante una attenta valutazione clinica supportato
dalle indagini strumentali. Nel feto e nel neonato si fa ricorso agli
ultrasuoni che abbinano la facile accessibilità all'assenza di
invasività. Insostituibili nell'iter diagnostico sono però la
Tomografia Computerizzata e la Risonanza Magnetica encefaliche.
Quest'ultima, con particolari sequenze, permette anche una valutazione
dinamica del flusso liquorale. |
|
Quali sono i trattamenti proposti nell'idrocefalo? |
|
L'idrocefalo è trattato chirurgicamente. Si realizzano sistemi di derivazione, chiamati shunt, che deviano il flusso liquorale dalle cavità ventricolari ad un'altra parte del corpo: atrio cardiaco destro e soprattutto peritoneo. Negli idrocefali ostruttivi da tumori del tronco e nella stenosi dell'acquedotto può essere indicato un intervento in neuroendoscopia di ventricolocisternostomia. |
|
Come si realizzano le derivazioni ventricolari extracraniche? |
|
Il sistema di derivazione è composto da un catetere intraventricolare, da una valvola e da un catetere distale di scarico nel torrente ematico o in una cavità sierosa (peritoneo). Il catetere prossimale, attraverso un piccolo foro del cranio, trapassando il cervello viene posizionato in un ventricolo ed è collegato al catetere distale mediante l'interposizione di una valvola. Tale valvola, solitamente collocata in sede mastoidea consente il passaggio liquorale in un'unica direzione (dal ventricolo alla periferia) e regola il flusso in base alla pressione intracranica. Tutto il sistema, tranne il catetere prossimale nella sua porzione intracranica e quello distale nella sua porzione intrasierosa o intravascolare, è posizionato sottocute.
I sistemi di derivazione liquorale sono realizzati con materiale inerte e possono essere lasciati in sede indefinitivamente o rimossi qualora cessi la causa dell'idrocefalo. Attualmente sono sempre più usate valvole programmabili che permettono di variare nel tempo dall'esterno, con apposita apparecchiatura, la pressione di apertura della valvola in base alla risposta clinica del paziente.
Lo shunt comunemente più utilizzato è quello ventricolo-peritoneale.
Gli interventi sono realizzati in anestesia generale. |
|
Come si realizza la
ventricolocisternostomia? |
|
Un selezionato numero di pazienti, in cui l'idrocefalo è ostruttivo, può essere trattato con una procedura alternativa chiamata ventricolocisternostomia.
In questa procedura, un neuroendoscopio (cioè uno strumento che permette all'operatore di visualizzare, tramite una piccola telecamera, le cavità ventricolari sfruttando la tecnologia delle fibre ottiche) viene introdotto nelle cavità ventricolari attraverso un piccolo foro della teca cranica. Si esegue poi con apposito strumentario miniaturizzato, una piccola comunicazione fra il pavimento del terzo ventricolo e gli spazi subaracnoidei della base cranica. Questo permette di bypassare la sede ostruttiva a livello dell'acquedotto o del IV ventricolo.
L'intervento è in anestesia generale. La procedura è miniinvasiva e questo comporta una degenza ospedaliera molto breve. |
|

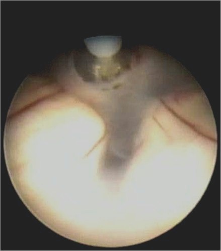
|
|
Ventricolocisternostomia
(VCS) |
|
Vi sono complicanze nei trattamenti chirurgici? |
|
Mentre
le complicanze tardive dei sistemi di shunt possono includere:
malfunzionamento, infezioni, ostruzioni, interruzione del catetere.
Quest'ultima evenienza spesso si riscontra negli bambini che presentano
un rapida crescita staturale. Generalmente i sistemi di shunt richiedono
un regolare controllo medico. Alcuni sistemi di derivazione realizzano
un iper- o ipodrenaggio. Un iperdrenaggio si verifica quando lo shunt
permette un deflusso liquorale più rapido della produzione. Si può così
provocare un collasso ventricolare, un ematoma sottodurale acuto o
cronico con sintomi di ipertensione endocranica come cefalea e vomito.
L'ipodrenaggio invece provoca una ricomparsa della sintomatologia da
idrocefalo.
In aggiunta dei comuni sintomi imputabili all'idrocefalo, l'infezione
del sistema di derivazione può produrre sintomi come febbre non
elevata, dolorabilità alle spalle ed al collo, rossore e dolore lungo
il tragitto dello shunt. Inoltre, si può associare la sintomatologia ed
i segni clinici dell'infezione a carico della cavità sierosa:
peritonite. Si rende quindi necessaria la sostituzione del sistema,
previa sterilizzazione del liquor mediante opportuna antibioticoterapia
e derivazione ventricolare esterna temporanea. |
|
Quali sono le percentuali di successo del trattamento chirurgico? |
|
La
prognosi per i pazienti con diagnosi di idrocefalo è difficile da
predire benché ci sia una qualche correlazione fra l'eziologia e
l'andamento clinico. La prognosi è ulteriormente complicata dalla
presenza di disturbi associati, dalla tempestività della diagnosi e dal
successo del trattamento. Inoltre, dopo lo shunt chirurgico, non è
chiaro il grado di riduzione della dilatazione ventricolare necessario
per far regredire o per minimizzare i sintomi o i segni d'esordio.
I pazienti ed i loro famigliari devono comprendere che l'idrocefalo
implica dei rischi per lo sviluppo. Comunque, molti bambini idrocefalici,
che dopo la derivazione sono stati sottoposti ad intensi programmi
riabilitativi ed educativi, hanno raggiunto una buona autonomia con
conduzione di vita pressoché normale con modeste limitazioni.
Le indagini neuroradiologiche sono necessarie nel controllo
postchirurgico ed a distanza sia per valutare il corretto posizionamento
del sistema di drenaggio in sede intracranica sia per monitorare l'evolutività
morfologica delle dimensioni ventricolari. La RM permette anche di
valutare la buona funzionalità della ventricolocisternostomia, si può
infatti osservare il cosiddetto segnale di "flow-void".
Inoltre, la radiologia tradizionale è ancora insostituibile
nell'evenienza di un malfunzionamento del sistema di drenaggio in
quanto, essendo radioopaco, è ben impressionabile sulla lastra
radiografica. È così possibile seguire tutto il percorso dello shunt,
dal cranio alla cavità di scarico, per rilevare eventuali interruzioni.
In caso di insuccesso funzionale dell'intervento di
ventricolocisternostomia la procedura può essere ripetuta oppure il
trattamento chirurgico può essere convertito in uno shunt
ventricolo-peritoneale o analogo. |
IDROCEFALO
"NORMOTESO" o CRONICO DELL'ANZIANO |
|
Cosa si intende per idrocefalo a pressione normale dell'anziano? |
|
È
una affezione dovuta a dilatazione ventricolare, prevalentemente
sopratentoriale, associata, in alcuni casi, a variazioni ricorrenti e
transitorie, della pressione endocranica. |
|
Quali sono le cause di idrocefalo a pressione normale dell'anziano? |
|
Non
si conosce l'esatta causa dell'idrocefalo dell'anziano. Sono segnalati
pregressi traumi, fattori infiammatori o spandimenti ematici, ma senza
una chiara correlazione eziologica. |
|
Quali sono i sintomi dell'idrocefalo a pressione normale dell'anziano? |
|
È
un disordine che di solito colpisce le persone anziane ed interessa
prevalentemente i maschi. Primariamente si presentano disturbi nella
deambulazione. Tale difficoltà è stata descritta come se il paziente
sentisse i piedi incollati al terreno. Una persona con questa patologia
ha difficoltà ad iniziare la deambulazione che comunque avviene a
piccoli passi e su base allargata. Se grave, il paziente diventa
incapace di camminare e si trova costretto alla sedia a rotelle. Il
secondo carattere clinico comune è l'alterazione del controllo della
minzione. Molti lamentano una urgenza minzionale che li costringe a
raggiungere il bagno velocemente, tentativo che spesso può fallire
viste le difficoltà motorie. L'evoluzione è verso una franca
incontinenza urinaria. La terza caratteristica è un declino della
memoria a breve termine a cui nel tempo si aggiungono deficit delle
altre funzioni superiori fino a giungere ad un quadro dementigeno.
|
|
Come è diagnosticato l'idrocefalo normoteso dell'anziano? |
|
Correntemente
non vi è un test di certezza che permetta di fare diagnosi sicura di
idrocefalo dell'anziano. La triade clinica (incertezza nella
deambulazione, incontinenza e declino cognitivo) è fortemente
indicativa per questa patologia, ma non sempre si ritrova in tutta la
sua espressione nel paziente. Le indagini neuroradiologiche (Tomografia
Computerizzata e Risonanza Magnetica encefaliche) possono fornire utili
informazioni e consentono di giungere ad un fondato sospetto diagnostico
di idrocefalo dell'anziani. La RM funzionale consente lo studio della
dinamica del flusso liquorale, che in questi casi è alterato o
addirittura invertito. Alla diagnosi di idrocefalo si giunge di solito
per esclusione: vale a dire si ricercano nei quadri neuroradiologici
quelle caratteristiche morfologiche che permettono di escludere si
tratti di dilatazioni ventricolari secondarie ad involuzione senile
normale o patologica o ex-vacuo (posttraumatica o postictale).
Nel 10% dei casi, mediante il posizionamento di un captore in sede
intraventricolare, si è potuto monitorare un aumento saltuario della
pressione intracranica che dura qualche decina di minuti, è
prevalentemente notturna, e sarebbe la causa della progressiva
dilatazione ventricolare. Questo sistema, al pari della testistica
neuropsicologica, non è però scevro da grossolani errori. Le prove di
sottrazione liquorale tramite puntura lombare o dell'infusione di mezzo
di contrasto nello spazio subaracnoideo spinale e valutazione mediante
Tomografia Computerizzata encefaliche seriate della circolazione dello
stesso nei vari comparti encefalici sono sostanzialmente abbandonate
anche se, a fronte di una bassa invasività, hanno una buona capacità
diagnostica. |
|
Quali sono i trattamenti proposti nell'idrocefalo normoteso dell'anziano? |
|
Il solo trattamento ritenuto efficace è lo shunt, vale a dire il posizionamento di un catetere di drenaggio dal ventricolo laterale ad una cavità sierosa od ematica del corpo.
Si fa strada però l'ipotesi che, in casi selezionati, sia parimenti efficace, a fronte di una minore invasività, l'intervento chirurgico di ventricolocisternostomia da realizzarsi con l'ausilio del neuroendoscopio e della tecnologia di neuronavigazione stereotassica. |
|
Come
vengono realizzare le derivazioni ventricolari extracraniche? |
|
Lo
shunt è composto da un catetere intraventricolare, da una valvola e da
un catetere distale di scarico nel torrente ematico o in una cavità
sierosa (pleura o peritoneo). Il catetere prossimale, attraverso un
piccolo foro del cranio, trapassando il cervello viene posizionato in un
ventricolo ed è collegato al catetere distale mediante l'interposizione
di una valvola. Tale valvola, solitamente collocata in sede mastoidea
consente il passaggio liquorale in un'unica direzione (dal ventricolo
alla periferia) e regola il flusso in base alla pressione intracranica.
Tutto il sistema, tranne il catetere prossimale nella sua porzione
intracranica e quello distale nella sua porzione intrasierosa o
intravascolare, è posizionato sottocute.
I sistemi di derivazione liquorale sono realizzati con materiale inerte
e possono essere lasciati in sede indefinitivamente o rimossi qualora
cessi la causa dell'idrocefalo. Attualmente sono sempre più usate
valvole programmabili che permettono di variare nel tempo dall'esterno,
con apposita apparecchiatura, la pressione di apertura della valvola in
base alla risposta clinica del paziente.
Lo shunt comunemente più utilizzato è quello ventricolo-peritoneale.
Gli
interventi sono realizzati in anestesia generale. |
|
Come si
attua la ventricolocisternostomia? |
|
Un selezionato numero di pazienti può essere trattato con una procedura alternativa chiamata ventricolocisternostomia. In questa procedura, un neuroendoscopio (cioè uno strumento che permette all'operatore di visualizzare, tramite una piccola telecamera, le cavità ventricolari sfruttando la tecnologia delle fibre ottiche) viene introdotto, con tecnica stereotassica, nelle cavità ventricolari attraverso un piccolo foro della teca cranica. Lo scopo è quello di realizzare con apposito strumentario miniaturizzato, una piccola comunicazione fra il pavimento del terzo ventricolo e gli spazi subaracnoidei della base cranica.
L'intervento è in anestesia generale. La degenza è breve. |
|
Quali complicanze nei trattamenti chirurgici? |
|
Le
complicanze intraoperatorie sono l'ematoma intraparenchimale e
l'emorragia intraventricolare.
I sistemi di shunt non sono perfetti. Le complicanze precoci o tardive
possono includere: malfunzionamento, infezioni, ostruzioni, interruzione
del catetere. Generalmente i sistemi di shunt richiedono un regolare
controllo medico. Alcuni sistemi di derivazione realizzano un iper- o
ipodrenaggio. Un iperdrenaggio si verifica quando lo shunt permette un
deflusso liquorale più rapido della produzione. Si può così provocare
un collasso ventricolare, un ematoma sottodurale acuto o cronico con
sintomi di ipertensione endocranica come cefalea e vomito.
L'ipodrenaggio invece provoca una ricomparsa della sintomatologia da
idrocefalo.
In aggiunta dei comuni sintomi imputabili all'idrocefalo, l'infezione
del sistema di derivazione può produrre sintomi come febbre non
elevata, dolorabilità alle spalle ed al collo, rossore e dolore lungo
il tragitto dello shunt. Inoltre, si può associare la sintomatologia ed
i segni clinici dell'infezione a carico delle cavità sierose: pleurite
o peritonite. |
|
Quali sono le percentuali di successo del trattamento
chirurgico nell'drocefalo dell'anziano? |
|
Si
assiste ad una regressione della triade sintomatologica nella stragrande
maggioranza di idrocefalo dell'anziano, sempre che la diagnosi sia stata
posta correttamente. Infatti, i trattamenti chirurgici risultano del
tutto inefficaci nelle dilatazioni ventricolari secondarie ad
involuzione senile dementigena. |
|

|

|
|
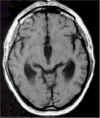
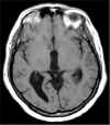
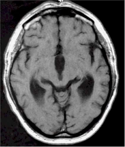
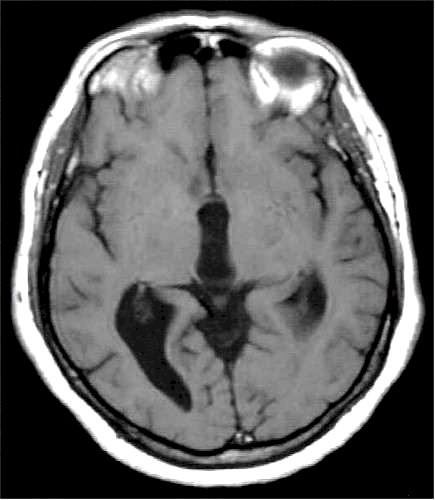
Idrocefalo
"normoteso" alla RM. |
Esito
postventricolocisternostomia. |
|
Le
indagini neuroradiologiche (TC e RM encefaliche) spesso non mostrano
eclatanti variazioni delle dimensioni ventricolari, pur in presenza di
una scomparsa della sintomatologia. |