|
|
|
Cosa sono i gliomi del nervo ottico? |
I gliomi del tronco encefalico interessano o il mesencefalo, o il ponte, o il bulbo, o la giunzione cervicomidollare. Fino al 20% dei tumori encefalici nei bambini sono gliomi del tronco. Il tumore può istologicamente essere di qualsiasi tipo: un astrocitoma, un ganglioglioma o un ependimoma. Nei pazienti in cui una biopsia non è possibile lo specifico tipo di tumore potrebbe non essere conosciuto. Questi tumori comunemente non diffondono oltre il tronco encefalico.
Ci sono quattro gruppi di gliomi del tronco: diffuso, focale, esofitico, cervicomidollare.
Circa il 60-70% dei gliomi del tronco sono diffusi (invasivi o scarsamente delineati). Questi tumori hanno un rapido esordio dei sintomi. La maggioranza di questi tumori sono astrocitomi fibrillari o anaplastici.
Dal 10 al 20% dei tumori del tronco sono focali (confinati in una unica area). Possono essere solidi o cistici e possono insorgere in qualsiasi area del tronco encefalico. I gliomi a localizzazione nel tetto si localizzano nella porzione posteriore del mesencefalo. Sono tumori solidi, focali e spesso a lenta crescita. Frequentemente sviluppano un idrocefalo da stenosi dell'acquedotto. I tumori focali, solitamente, hanno un esordio graduale dei sintomi ed hanno la prognosi più ottimistica. Sono spesso astrocitomi pilocitici o fibrillari che possono essere trattati chirurgicamente.
Un tumore esofitico origina nel tronco, ma spesso cresce fuori da esso, verso il quarto ventricolo. I sintomi sono di solito dovuti ad un incremento della pressione intracranica causata dal blocco del flusso del liquor dal ventricolo.
Un tumore cervicomidollare origina nel bulbo e si estende nel midollo cervicale. È spesso un astrocitoma pilocitico o fibrillare, e può essere trattato chirurgicamente.
|
|
Quali sono i disturbi clinici?
|
| I segni ed i sintomi lamentati sono: disturbi dell'equilibrio, cefalea, nausea e vomito, diplopia, deficit del nervo facciale, problemi nella deglutizione, disfonia, astenia. |
|
Come vengono diagnosticati?
|
|
La diagnosi si avvale degli esami neuroradiologici. Per il particolare distretto anatomico da studiare, il tronco, attualmente la Risonanza Magnetica è quella che offre la migliore visualizzazione e definizione delle lesioni tumorali. |
|
È proponibile la terapia chirurgica?
|
|
Il trattamento di gliomi del tronco è condizionato soprattutto dal grado di infiltrazione. Una lesione circoscritta che sposta il parenchima è nella maggior parte dei casi asportabile. La tecnica microchirurgica con il
neuronavigatore ha indubbiamente allargato le indicazioni per il trattamento chirurgico permettendo l'aggressione dei tumori del tronco con buona garanzia della preservazione anatomica e funzionale delle aree limitrofe alla lesione. Questa ricerca della precisione chirurgica è la condizione indispensabile, in considerazione dello spazio assai ristretto del tronco e del suo alto contenuto di nuclei e fibre essenziali per la vita. |
|

|
 |
|
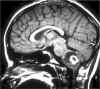
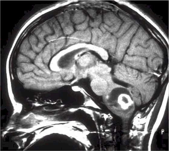
Glioma del
tronco encefalico alla RM. |
Esito postchirurgico. |
Sarà necessario un controllo neuroradiologico seriato per il rilievo precoce di un eventuale idrocefalo secondario che andrà opportunamente trattato chirurgicamente.
La terapia radiante può essere usata come trattamento primario per tumori inoperabili o altamente maligni. Può anche seguire la chirurgia nei casi di rimozione parziale della massa tumorale.
La chemioterapia può essere raccomandata in pazienti con tumori ricorrenti. Nei bimbi di età inferiore ai tre anni, la chemioterapia può essere somministrata nel tentativo di procrastinare il trattamento radiante. |
|
Quale è la prospettiva di vita?
|
| La prognosi dipende essenzialmente dal grado istologico di malignità, ma è grandemente influenzata dalla sede e dal coinvolgimento di strutture del tronco che possono essere essenziali per la qualità della vita. Nei pazienti nei quali sono stati asportati gliomi di alto grado, sottoposti anche a radioterapia, la sopravvivenza media è intorno ai 6 mesi. Al contrario, in quelli con gliomi di basso grado, l'evoluzione media può raggiungere i tre anni. A 5 anni, le percentuali di sopravvivenza può raggiungere il 30%. |
|
Le informazioni su patologie e trattamenti neurochirurgici hanno solo scopo informativo.
Non sostituiscono visite o consulti medici.
Se hai problemi di salute, rivolgiti sempre al tuo medico o professionista sanitario di fiducia.
Lo staff di Neurochirurgia è disponibile per chiarimenti, ma non può fornire diagnosi personalizzate
online. |